Inilah Bahaya Karang Gigi yang Wajib Anda Ketahui
Resiko Kesehatan yang Disebabkan Karang Gigi
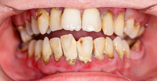
Karang gigi bisa membahayakan kesehatan gigi maupun kesehatan tubuh. Bahaya karang gigi yang harus anda ketahui.
Apabila anda sering mengalami radang gusi atau gusi bengkak, atau juga saat gosok gigi gusi berdarah, maka itu adalah salah satu tanda bahaya akan karang gigi. Apabila hal ini dibiarkan dalam waktu lama maka akan menjadi masalah yang lebih serius seperti sakit gigi atau gigi akan lepas.
2. Kerusakan tulang
Tahukah anda bahwa karang gigi dapat mempengaruhi kesehatan tulang anda? Karang gigi akan membuat penyerapan kalsium pada tulang dan pada gigi menjadi terhambat sehingga baik gigi maupun tulang akan kekurangan kalsium.
3. Penyebab beberapa penyakit pada gusi
Karang gigi dapat menyebabkan gusi bengkak, gusi berdarah, dan nyeri pada gusi. Hal ini terjadi karena bakteri yang berada pada karang gigi dapat menyerang gusi sehingga muncul beberapa penyakit pada gusi.
Baca juga : Cara Menghilangkan Karang Gigi
Efek samping dari karang gigi yang akan terjadi pada diri anda apabila hal tersebut tidak anda atasi. Namun karang gigi selain dapat menyebabkan masalah diatas juga akan berdampak pada penampilan anda seperti:
1. Nafas menjadi bau
Karang gigi dapat menyebabkan nafas anda menjadi bau sebab banyak bakteri yang terkandung dalam karang tersebut. Tentu saja hal ini akan membuat anda merasa malu atau kurang percaya diri.
Artikel Lainnya : Cara Mengatasi Bau Mulut
2. Gigi menjadi kuning
Adanya karang pada gigi juga berperan dalam membuat gigi menjadi kuning. Karang gigi akan menumpuk sisa makanan sehingga banyak noda makanan yang akan menempel pada gigi. Hal ini jika tidak diatasi maka akan menyebabkan gigi menjadi kuning.
Lihat juga : Cara Memutihkan Gigi Dalam 1 Minggu
3. Tidak percaya diri
Karena gigi yang kuning dan juga nafas yang bau maka akan menyebabkan anda merasa tidak percaya diri ketika akan berbicara dengan orang atau sekedar memberi senyum ke orang lain.
Itulah bahaya karang gigi yang wajib anda ketahui sebab akan selain berdampak pada kesehatan juga dapat mempengaruhi penampilan anda.

0 Response to "Inilah Bahaya Karang Gigi yang Wajib Anda Ketahui"
Post a Comment